Cómo Conseguir una Sonrisa Perfecta en Cádiz con Implantes Dentales

Imagina pasear por el Paseo Marítimo de Cádiz, disfrutando de la brisa del Atlántico, y sonriendo con total confianza. En Clínica Dental Copano, hacemos realidad ese sueño para pacientes de todas las edades, desde adolescentes de 12 años hasta mayores en la tercera edad. Nuestra misión es ayudarte a conseguir La Sonrisa de Cádiz, una combinación perfecta de estética y funcionalidad que te permita brillar en cualquier momento, ya sea en una reunión en el Palacio de Congresos o compartiendo tapas en el barrio de La Viña.

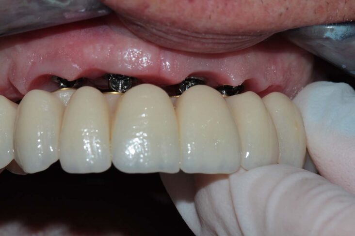
Nuestro tratamiento estrella, destacado por el Dr. Juan Antonio Copano en su publicación en El Dentista Moderno, es la técnica All-on-4. Este procedimiento revolucionario permite restaurar una arcada completa con solo cuatro implantes, ideal para quienes han perdido varios dientes o sufren de baja densidad ósea, un problema común en mayores de 50 años. A diferencia de las dentaduras removibles, que pueden ser incómodas y limitar tu dieta, All-on-4 ofrece una prótesis fija que se coloca el mismo día de la cirugía. Imagina salir de nuestra clínica, ubicada a pocos pasos de la Plaza de España, con una sonrisa renovada, lista para disfrutar de un pescaíto frito en el Mercado Central sin preocupaciones.

El proceso comienza con una consulta personalizada en nuestra clínica en Cádiz. Usamos un TAC (CBCT) de última generación para evaluar la estructura ósea de tu mandíbula, lo que nos permite planificar cada implante con precisión quirúrgica. En el caso de una paciente de 57 años, descrito en El Dentista Moderno, usamos dos implantes rectos en la zona anterior y dos angulados en la posterior, evitando procedimientos invasivos como la elevación de seno. Esta técnica no solo es efectiva para mayores, sino también para adultos jóvenes que han perdido dientes por accidentes deportivos o problemas periodontales.

La cirugía de All-on-4 es menos intimidante de lo que parece. Bajo sedación, extraemos cualquier diente comprometido, preparamos el hueso con una alveoloplastia y colocamos los implantes con torques superiores a 35 Ncm para garantizar estabilidad. Luego, instalamos pilares Multi-unit angulados, que distribuyen la fuerza de la masticación, asegurando que la prótesis sea funcional y estética. En solo unas horas, atornillamos una prótesis provisional que te permite comer, hablar y sonreír con confianza mientras los implantes se integran al hueso (proceso de osteointegración, que dura 4-5 meses).

La recuperación es sorprendentemente rápida. La mayoría de los pacientes retoman sus actividades en pocos días, con revisiones periódicas en nuestra clínica en Cádiz para monitorear la curación. Usamos materiales de alta calidad, como pilares de titanio, para garantizar que tu sonrisa sea tan duradera como la Torre Tavira. Además, ofrecemos planes de financiación adaptados a los residentes de Cádiz, desde San Fernando hasta Chiclana, para que La Sonrisa de Cádiz sea accesible para todos.

Este tratamiento no es solo para mayores. Los adolescentes que han perdido un diente en un partido de fútbol en el polideportivo de La Paz pueden beneficiarse de implantes individuales, diseñados para integrarse perfectamente con sus dientes naturales. Una profesora de Puerto Real nos compartió: “Perdí varios dientes por problemas periodontales, pero ahora sonrío sin taparme la boca. La Clínica Copano cambió mi vida”.

 

En Cádiz, donde la vida social es vibrante, desde los carnavales hasta las tardes en la Playa de la Victoria, una sonrisa segura marca la diferencia. Ya seas un estudiante, un profesional o un jubilado, La Sonrisa de Cádiz es más que un tratamiento: es una inversión en tu confianza y bienestar.

¿Listo para transformar tu sonrisa y lucir La Sonrisa de Cádiz? Reserva tu consulta gratuita en Clínica Dental Copano en Cádiz hoy. ¡Llámanos o visita nuestra web para empezar tu cambio!

Deja una respuesta

Tu dirección de correo electrónico no será publicada. Los campos obligatorios están marcados con *

dos × tres =